scoliosis-patient-with-provider-1200x852-4smvlebmm96th8eal11u7ugv6j-as

Curves of Courage: Three Journeys Through Scoliosis

Scoliosis affects millions of children across the U.S., but no two journeys are the same. Discover how Abagail, Chloe and Savannah found strength, support and hope through personalized care at Shriners Children’s Erie.

In the United States, approximately 2% to 5% of children develop scoliosis, a condition in which the spine curves into a C or S shape, rather than growing in a straight line. While some cases are mild and can be monitored, more severe curves can progress over time, becoming painful and even affecting the heart, lungs and other internal organs as they become crowded. At Shriners Children’s Erie, early detection, personalized treatment plans and compassionate care help children diagnosed with scoliosis lead healthy, active lives.

Every scoliosis journey is different. Patient stories show that while the diagnosis may be the same, each child’s path to healing is deeply personal, shaped by their curve, their care team and the support that surrounds them. These personal stories remind us that scoliosis is not simply a medical condition, but a lived experience that requires compassionate, individualized care tailored to each child’s unique needs.

Abagail

Abagail was referred to Shriners Children’s Erie in 2022 after her primary care provider noticed an irregularity in her spine. “I was confused,” Abagail said, “I didn’t feel like anything was wrong with me.”

Her mother, Shameka, felt overwhelmed and frightened. “I didn’t know what her diagnosis really meant or how severe her scoliosis could be,” she said. But those worries were quickly met with reassurance and clarity as the team at Shriners Children’s stepped in to guide them through the next steps.

When Abagail arrived at Shriners Children’s Erie, doctors found that her upper spine had a severe curvature measuring 50 degrees, along with another curve lower in her back. Her case was unique, as her spinal curve bent toward her heart, unlike many cases, where the curve typically bends away from it. Not only was the curve severe, but it involved the highest vertebrae a thoracic lumbar sacral orthosis (TLSO) brace can address. Hannah Clark, MS, CPO, recalled how Abagail became the first patient at Shriners Children’s Erie to try a new brace style designed to manage such high thoracic curves.

“Abagail was nervous and stressed from the whiplash of being an active girl in gymnastics and skiing to facing a condition that might require spine surgery,” Clark said. “Her family approached everything with determination and love. They were all in.”

Pediatric Orthotic and Prosthetic Services (POPS) team members worked closely with her physician, Stephen Mendelson, M.D. When Abagail was diagnosed with scoliosis, he began researching advanced brace styles. Over the course of her treatment, Abagail wore three different TLSO designs. The most successful was a custom-designed brace. It reduced her curve by over 50% in-brace, an extraordinary result.

Dr. Mendelson explained that early detection and specialist care are key. “The goal with bracing is to maintain the curve so that it does not progress to a point requiring surgery,” he said. Mendelson emphasized the importance of timely screenings and proactive care. His advice is clear for families with young children concerned about scoliosis. “Make sure that your pediatrician is doing a thorough evaluation, and get a referral to a specialist so that they can prevent the curve from getting any worse.”

Pediatricians should look at the back as soon as they can, and screening programs in schools should start at 8 or 9.
Stephen Mendelson, M.D., Shriners Children's Erie

Chloe

Shriners Children’s Erie Patient Ambassador Chloe was 12 when a routine pediatric checkup led to a scoliosis diagnosis. During the exam, her pediatrician noticed a rib hump when she bent over to touch her toes and sent her for X-rays to confirm the curvature. The news left Chloe feeling anxious, unsure how visible the curve would be to others and fearful that surgery was her only option.

At the time, she had never heard of bracing for scoliosis. Chloe began treatment with a back brace, an adjustment she found physically and emotionally challenging. “I felt kind of like a turtle,” she said, recalling moments of limited mobility and discomfort at school. Despite her best efforts and support from the POPS teams at both Shriners Children’s Erie and Shriners Children’s Philadelphia, bracing wasn’t enough to prevent curve progression. Eventually, surgery became the next step.

In 2021 Chloe underwent a vertebral body tethering (VBT) procedure, performed by pediatric orthopedic surgeon Joshua Pahys, M.D.

“Due to her determination and hard work, she recovered well and returned to all her activities sooner than expected,” Pahys said. “Her journey is emblematic of how well kids can do even when faced with surgery.” Chloe connected with another scoliosis patient before surgery, and their video calls helped calm her nerves and build confidence.

Recovery for Chloe was full of small victories. “I remember when I first got cleared to ride rollercoasters again by Dr. Pahys, and I treated it like a celebration,” she said.

Chloe credits the care teams at Shriners Children’s for helping her feel empowered and optimistic. Today, she’s passionate about raising awareness, encouraging early detection and breaking the stigma surrounding scoliosis. “You are never alone,” she said, urging newly-diagnosed teens to reach out and connect with others. Her journey taught her strength, patience and the importance of self-advocacy. Now she encourages others to share their stories, too.

Savannah

Shriners Children’s Erie Patient Ambassador Savannah was diagnosed with scoliosis years before her care journey began. Her primary care provider diagnosed her with scoliosis, but did not send her for an X-ray at that time. It wasn’t until Savannah began to experience shortness of breath during the school day that her mother, Tracy, decided to schedule a visit with a different physician, who ordered a chest X-ray. The results revealed an abnormal curvature in Savannah’s spine. Without hesitation, Tracy picked up the phone and called Shriners Children’s Erie.

At Shriners Children’s Erie, Savannah and her family were met with answers. Under the care of Ozgur Dede, M.D., and Hannah Clark, MS, CPO, they learned that Savannah’s spinal curve measured 48 degrees, which is well past the 20-degree mark when bracing typically begins. “Because her curve magnitude was so severe, the team had to lay out all treatment options from the start,” said Hannah. “Bracing became the first step, with the understanding that if it was not effective, surgery might be necessary.”

From the very beginning, Savanah’s family made it clear that this wasn’t her fight alone. Her parents, Tracy and Brad, took their initial frustration and fear and channeled it into advocacy and support. The first night Savannah received her brace, she hosted a slumber party with her closest friends. Savannah showed off her brace, explained to her friends the importance of wearing it and answered all the questions they had while enjoying other slumber party activities.

Since being diagnosed, Savannah and her parents have hosted fundraisers for Shriners Children’s Erie and volunteered with local Shriners International clubs. They have also starred as guests on TV interviews, received a proclamation from Pennsylvania Governor Josh Shapiro, and are currently working with Pennsylvania State Senator Michelle Brooks to lower the age at which public schools screen for scoliosis.

The stories of Abagail, Chloe and Savannah highlight the unique nature of every scoliosis journey and the crucial role personalized care plays at each stage. Early detection is key to successful treatment, often making the difference between non-invasive management and surgical intervention. When families, schools and healthcare providers are informed and prepared to recognize the early signs, children have a much better chance of managing their condition effectively with minimal disruption to their daily lives. That’s why raising awareness and promoting education around scoliosis are so important. Advocating for routine screenings, informed care and open dialogue can help ensure more children are diagnosed early, receive the support they need and are empowered to thrive throughout their journey.

Meet Abagail, Chloe and Savannah

Three inspiring young women, each navigating scoliosis in their own unique way. Their journeys highlight the importance of early detection, personalized care and the strength that comes from sharing their stories.

a patient wearing a back brace holding a teddy bear

Abagail is smiles with her Higgy Bear in POPS while wearing matching braces.

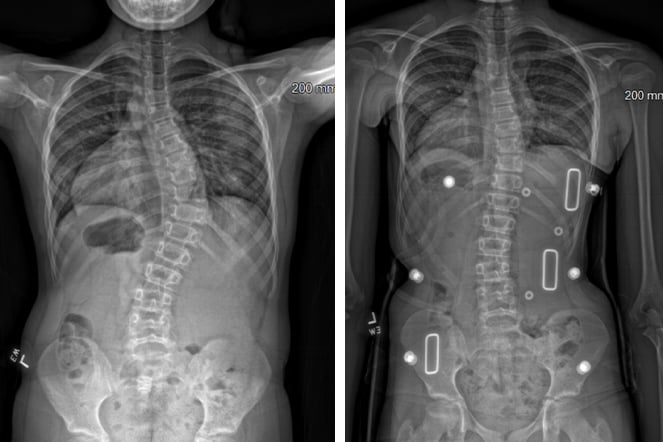
a before and after x-ray of a spine

X-rays of Abagail's spine before and after three very consistent years of bracing.

a child wearing a back brace

Chloe shows off her pink scoliosis brace.

a patient in a hospital bed smiling next to an adult wearing a surgical mask

Chloe smiles with her surgeon, Dr. Pahys.

a before and after x-ray of a spine

X-rays of Chloe's spine before and after her VBT surgery.

a patient wearing a back brace holding a teddy bear

Savannah smiles with her Higgy Bear who wears a matching brace.

a before and after x-ray of a spine

X-rays of Savannah's spine in and out of a brace.

Next Steps

Share Your Story

messageempty-33x33-yellowgradient-ashx
Our patients and families are at the heart of everything we do at Shriners Children's. We invite you to share how the team at Shriners Children's has helped your child.

Give to Shriners Children's

heart-33x33-yellowgradient-ashx
Through the generosity of donors like you, we've helped over one million children lead more fulfilling lives, regardless of their families' ability to pay.

Contact Us

letter-33x33-yellowgradient-ashx
Have a question or request? Need to make an appointment? We're here for you.