andrew-on-stage-1200x852-212449-ashx

One in a Million: Andrew's Story

Successful treatment for a rare diagnosis enables Andrew to take center stage.

When he was 5 years old, Andrew played baseball and when he would run, spectators in the crowd would often ask his parents, "Is he limping?"

Andrew’s parents would allay any concerns that their son was injured. It was just the way he ran.

“Andrew’s gait was always just a little off,” said his father, Jeff. “Every year we’d talk about it with his pediatrician and we were told he was just double-jointed. The doctor described Andrew as ‘floppy.’”

As Andrew grew, he developed a new passion for acting and singing. By 11, he had already appeared in two Hollywood movies and 10 musical productions. Whenever he was on his feet for long periods or did a lot of running, he began to experience pain in the ankle area of his left leg. “That’s when we said, ok maybe he’s not just ‘floppy,’” Jeff recalled.

They brought Andrew to Shriners Children’s New England for evaluation. During a physical examination, nurse practitioner Keri Garry, CPNP, RN, quickly noticed a difference in the size of Andrew’s lower legs and less range of motion in the left foot and ankle compared to his right. Imaging showed an abnormal bone within the joint at the back of the left foot.

Andrew was diagnosed with dysplasia epiphysealis hemimelica, also known as Trevor’s disease. “It is a very rare congenital bone development disorder in which extra bone grows into a joint,” said Keri. “It is estimated to occur in one out of one million children.”

Before, it was kind of hard to move it, but now my ankle feels more free. For my solo, I run around and jump while singing, and now I have no pain at all!
Andrew, Patient

Trevor’s disease most often occurs in young males, is most commonly found in the lower extremities, and generally occurs at the knee, foot or ankle. Because the abnormal growth extends into the joint, it often restricts motion, causes pain and results in asymmetric deformity in the limbs.

“The most commonly recommended treatment for symptomatic Trevor’s disease is to surgically remove the extra boney growth from within the joint,” explained Keri.

Andrew had surgery with the Shriners Children's team in December. “It was my first time ever having surgery,” Andrew recalled. "I remember the anesthesia mask on my mouth and I liked how it smelled. They said it took two hours but it felt like I woke up a minute later with a cast on.”

As he recovered, Andrew transitioned to a walking boot and began physical therapy just in time to begin rehearsing for his upcoming role as Young Simba in the musical The Lion King Jr. in April. By March, he was back in a regular shoe and ready to perform.

“Before it was kind of hard to move it but now my ankle feels more free,” he said. “For my solo, I run around and jump while singing, and now I have no pain at all!”

In the Spotlight:

Shriners Children’s diagnosed Andrew with Trevor’s disease and provided the surgery needed to relieve his pain and allow him to pursue his dreams.

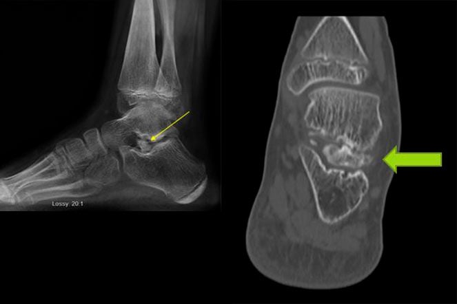
foot X-rays

X-ray imaging of Andrew’s left foot and ankle showed abnormal bone within the joint of the back of the left foot. This was causing a block to the normal motion in this joint.

Andrew wearing walking boot

Andrew is all smiles in a walking boot just a few weeks after his surgery.

Andrew on stage performing

Hakuna Matata! Andrew, post-surgery, performing as young Simba in a local stage production of Disney’s The Lion King, Jr.

Andrew with family

Andrew with his father, Jeff, and Shriners Children’s nurse practitioner Keri Garry, CPNP

Next Steps

Share Your Story

messageempty-33x33-yellowgradient-ashx
Our patients and families are at the heart of everything we do at Shriners Children's. We invite you to share how the team at Shriners Children's has helped your child.

Give to Shriners Children's

heart-33x33-yellowgradient-ashx
Through the generosity of donors like you, we've helped over one million children lead more fulfilling lives, regardless of their families' ability to pay.

Contact Us

letter-33x33-yellowgradient-ashx
Have a question or request? Need to make an appointment? We're here for you.